As parents, ensuring the health of our young sports enthusiasts is paramount. One key point to remember is that children and adolescents DO NOT sustain the same types of injuries as adults. Adolescents are more vulnerable to bone injury throughout the growth and maturation phase of development. For example, an adult may sustain a quadricep muscle-tendon tear when kicking a ball, whereas an adolescent is more likely to pull the quadricep tendon (the rectus femoris tendon) away from the bone that it's supposed to be attached to. This is called an apophyseal avulsion. This adolescent injury requires a period of unloading initially, followed by a progressive gym & on-field rehabilitation programme.



With schools starting back after the Summer break, the volume of sport that a child is participating in increases significantly (i.e. a spike in training load). Many children are playing multiple sports, with double trainings on some days also. This spike in training load along with inadequate sleep and sub-optimal nutrition can provide the conditions for injury to occur.



This blog will outline to parents the key adolescent injuries to look out for, the symptoms related to these injuries and how each one needs to assessed and managed. These injuries can be subtle, so recognising the signs early is key to more optimal outcomes. Ignoring symptoms may lead to surgery being required in some cases (e.g. osteochondritis dissecans of the knee).




"One key point to remember is that children and adolescents DO NOT sustain the same types of injuries as adults."








Bone Injury in Adolescents



What is Osteochondroses?

Osteochondroses is a group of conditions with a self-limiting developmental derangement of normal bone growth, primarily involving the centres of ossification in the epiphysis (growth plate). It involves an ischemic necrosis (loss of blood supply to the bone). Osteochrondoses abnormalities are divided into 3 areas :


  1. Articular (i.e. within the joint)

  2. Non-articular (i.e. outside the joint)

  3. Physes (i.e. at the growth plate).




The Importance of Growth Plates

Growth plates, also known as epiphyseal plates, are areas of developing tissue near the end of the long bones in children and adolescents. These plates are crucial for bone growth, and their vulnerability makes them susceptible to injuries during periods of rapid growth, which is common in young athletes.




Identifying the Signs : Symptoms to Look Out For

  • Persistent Pain : If your child complains of ongoing pain in a specific area, especially after physical activity, it could indicate a growth plate injury.

  • Swelling and Tenderness : Swelling around a joint or tenderness to the touch could signal an issue with the growth plate.

  • Changes in Performance : Noticeable changes in your child's performance, such as favoring one limb or experiencing difficulty with certain movements, should not be ignored.




Seeking Early Diagnosis and Treatment

Early diagnosis and treatment of growth plate injuries are crucial to prevent long-term complications. If you suspect that your child has sustained such an injury, don't delay in seeking medical attention. A healthcare professional experienced in pediatric sports injuries can provide an accurate diagnosis and recommend an appropriate treatment plan.








Key Adolescent Injuries Not To Miss!


  1. Slipped Capital Femoral Epiphysis (SCFE)

An x-ray demonstrating a Slipped Capital Femoral Epiphysis.

(Image taken from Orthobullets.com)


  • What is it? This is a type I salter-harris fracture of the growth plate of the thigh bone. The head of the femur slips backwards. It is more common on boys than girls. Boys present with symptoms aged 10-17 years, whereas girls present from 8-15 years.

  • Common Symptoms : Vague hip, groin, thigh or even knee pain; difficulty weight-bearing (limping); restricted movement.

  • Treatment : x-ray Imaging. Surgery is required in order to stabilise the growth plate. This involves inserting a screw across the physis, which secures it to the head of the femur.







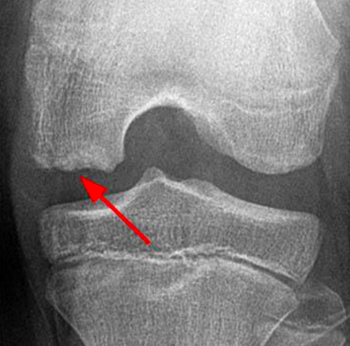
2. Osteochronditis Dissecans

Osteochronditis dissecans of the knee joint

(Image taken from Orthobullets.com)


  • What is it? This affects the articular cartilage and sub-chondral bone, of primarily the knee joint. But it can also be found in the elbow (capitellum). In 50% of cases it occurs gradually. Average age of 13 years, with males 4 times more likely to sustain this injury compared to females. 97% are vitamin D deficient.

  • Common Symptoms : Knee pain and effusion (swelling). Symptoms can be vague or mild. In sports involving repetitive arm and elbow movements (e.g. hurling), lateral elbow pain and swelling are common symptoms.

  • Treatment : MRI imaging is required. Treatment may be surgical or non-surgical.







3. Traction Apophysitis

Lower Limb Apophyseal Injuries

Image taken from : https://sportmedschool.com/osteochondrosis-apophysitis-other-bone-related-pediatric-injuries/


  • What is it? This is an injury involving mechanical traction at the bony sites where tendons attach. The tendon is stronger than the attachment, leading to pressure on the growth plate.

  • What are some common examples?

    • Osgood Schlatter's Disease (Tibial Tuberosity) - Knee Pain

    • Sinding-Larsen Johansson Syndrome (Inferior Pole of Patella) - Knee Pain

    • Sever’s Disease (Calcaneus) - Achilles Pain

  • Treatment : No imaging is required. Activity modification is key, along with a progressive exercise programme that targets lower limb strength and control.







4. Lumbar Spine Stress Fracture

L5 Pars Interarticularis Stress Fracture

(Image taken from : https://orthoinfo.aaos.org/en/diseases--conditions/spondylolysis-and-spondylolisthesis/


  • What is it? This involves increased stress to the vertebrae of the lower back, to a part of the spine known as the pars interarticularis. Abnormal bone stress occurs along a continuum from less stress, to more stress:

    • Healthy bone

    • Bone strain

    • Bone stress response

    • Bone stress fracture

  • Common Symptoms : Lower back pain; morning pain and stiffness; pain during sport; pain at rest, pain bending backwards.

  • Treatment : Imaging (x-ray and MRI). In order to allow the bone to heal, a minimum of 8-weeks off sport is recommended. This is followed by a progressive exercise programme that targets strength and control.







5. Lower Limb Bone Stress Injuries

T2-Weighted MRI of a Fredericson Grade 3 bone stress injury of the tibia. The arrow demonstrate marrow oedema. (Nussbaum et al, 2022)

  • What is it? Bone stress injuries to the tibia (shin bone) and metatarsals (bones in the foot) are common in active adolescent athletes. Bone stress injuries are related to training load errors, and they occur along a continuum that begins with a stress reaction. If not managed appropriately, this stress reaction can progress to a stress fracture, and then a complete bone fracture (Warden, Davis & Fredericson, 2014).

  • Common Symptoms : Pain that increases the longer you run, Pain that is worse after the run and the following day (causing a limp), Pain at rest (e.g. night time pain), Localised bone tenderness, Focal swelling.

  • Treatment : MRI is initially used to help diagnose and grade bone stress injuries. To provide the optimal conditions for healing to occur (Phase 1), low-risk bone stress injuries require a period of reduced loading (Warden, Edwards & Willy, 2021). Bone remodelling then occurs via the activity of bone-resorbing osteoclasts to remove damaged bone, with osteoblasts forming new bone (Burr, 2002). Eriksen (2010) states "that osteoclast activation and resorption in cortical bone takes approximately 4 weeks, with 3 months being required to replace this with new bone, and up to a year required for full mineralization".





Success Stories


Osteochondritis Dissecans Surgery - Knee (Soccer)

"Declan Hardy was recommended to me by a friend. My son had a hip avulsion fracture from sports. Declan worked with my son and he did specific strengthening exercises, on-field rehabilitation, among other things. My son and I were really pleased with these treatments as they helped his pain and discomfort a lot over time. I would highly recommend Declan if you are in need of a physiotherapist who is an active listener, he truly cares about his patients and wants the best for them." David



Hip Avulsion Fracture (Soccer)

"Declan at Buan Physio treated my 15-year-old son for a hip avulsion. He correctly diagnosed the issue pre-CT scan at VHI and then established a rehab program for him that cleared up the issue over several weeks. Declan has treated me (50 years old) for a number of running related issues (foot, ankle, back) with great guidance and had me back running again soon after. He has also treated a number of my U-16 football team players. He is simply a top class physio." Andrew







Conclusion

Understanding and identifying growth plate injuries in young athletes is a crucial aspect of safeguarding their health and ensuring their long-term athletic success. By recognising the signs early on, seeking prompt medical attention, and following a structured treatment plan, parents and athletes can navigate these challenges with resilience and determination.

Adolescents who sustain these injuries will require a progressive exercise programme (strength, control and mobility exercises), along with on-field or on-court rehabilitation, in order to make a successful return to sport.

If your child is experiencing pain that is impacting their participation in sports, I recommend scheduling a consultation with a sports physiotherapist. Get in contact today to book an appointment.



Book Online



Previous
Previous

A Complete Guide To Testing During ACL Rehabilitation!

Next
Next

The Importance of On-Field Rehabilitation When Recovering From Injury!